[最も選択された] ダブルバブルサイン画像 236263
Medical News Radiology Mcqs For Usmle Aipgee And Plab Double Bubble Sign Causes Include A Congenital Obstruction Duodenal Web Duodenal Atresia Duodenal Stenosis Annular Pancreas B
ーーーーーーーーーーーーーーーーーーー リターン品の配送が完了するまで、Joyful DaysはGuangzhou Tanjingren Technology Co,Ltdの日本における独占販売権を有する正規代理店です。 詳細に関しては、ページ下部のリスク&チャレンジをご確認ください。 ーーーーーーーーーーーーーーーーーーー 「エア5525円 XUANWENBAIHUO BMW S1000RR S 1000 RR 15 16 1718フロントガラスWindScreenダブルバブルウィンドデフレクター用 (色 真鍮) 車&バイク バイクパーツ バイク外装
ダブルバブルサイン画像
ダブルバブルサイン画像- ダブルバインド(Double bind)の バインド(bind)には、 「 縛る・拘束する 」という意味があります。 ダブルバインドを2つ紹介! ダブルバインドには いくつか種類があります。 今回はよく使われる 2つのダブルバインドを紹介します。眠っていたので包装は汚れがありますが未開封の新品になります。 ステー付き 定価3,000円 定価1,400円 ダブル球 バブル無し スリムショートウインカー
Double Bubble Sign Download Scientific Diagram
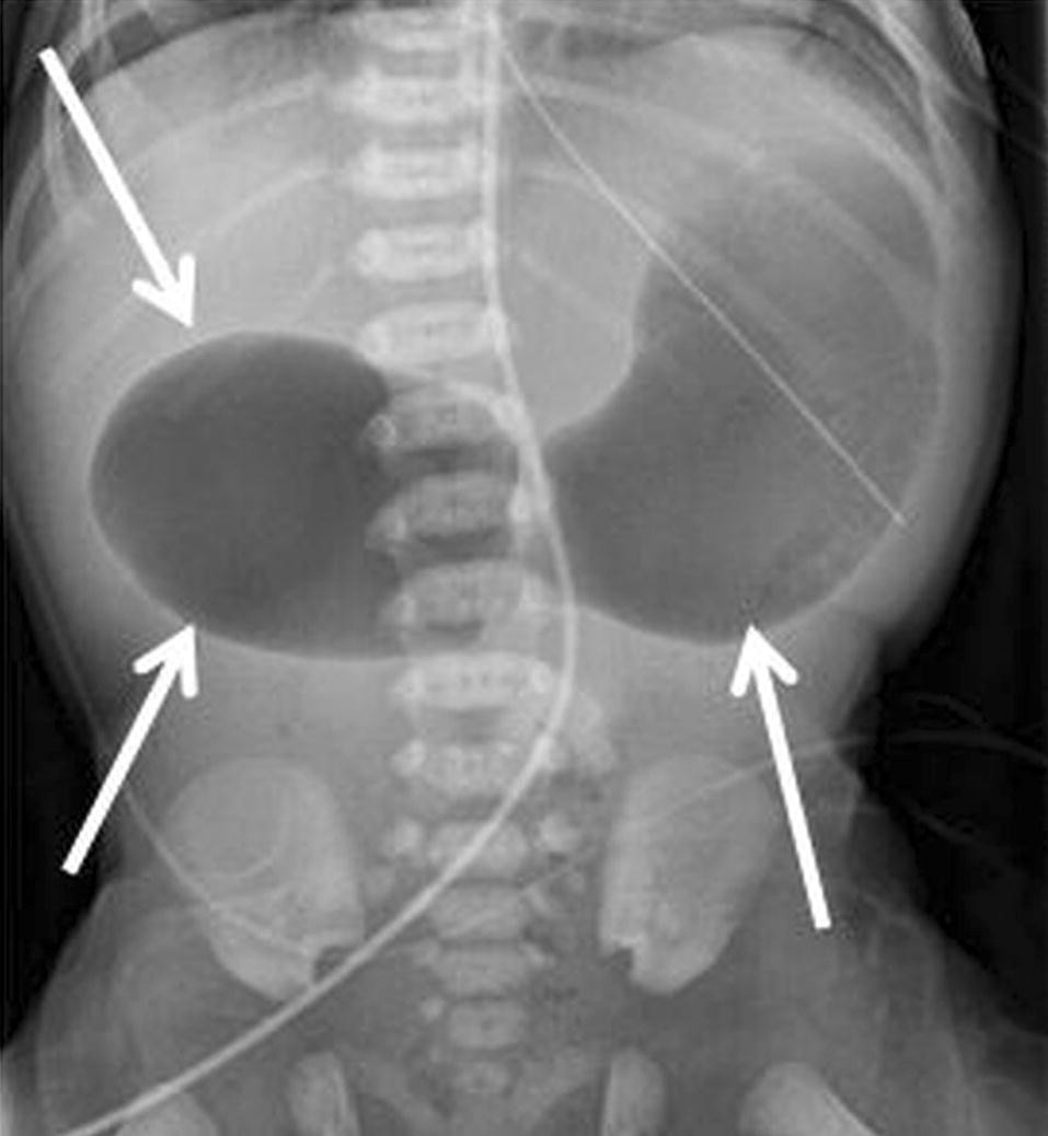
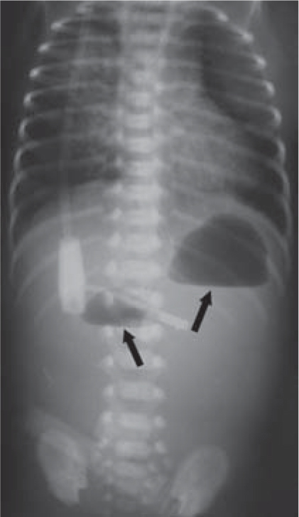
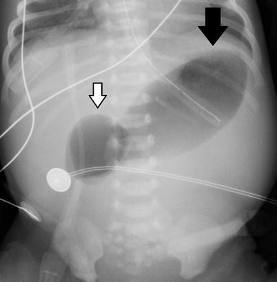
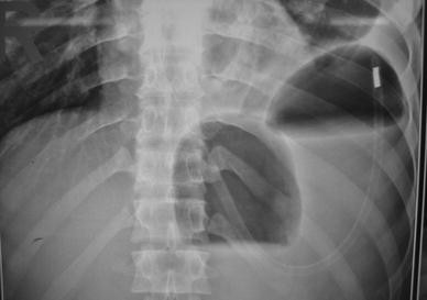
シングルバブル、ダブルバブル、トリプルバブルサインの違い なになにバブルサインとは、消化管が閉鎖される疾患のレントゲン所見のこと。 シングルバブルサイン ダブルバブルサイン トリプルバブルサイン 画像 出典 出典:105D41 出典スクリーン ダブルバブル クリア honda vtr1000f '97 〜 '05 カラー:クリア タイプ:ダブルバブル ご注意 写真は実際の製品と異なる場合がございます。 16年3月22日からの新価格です。Double(ダブル)は、日本の女性 歌手、ソングライター、takakoによるソロ・プロジェクト。 姉妹デュオとして1998年にデビューしたが、1999年に姉のsachikoが急逝したため、以降は現在の形態となった。 06年からはdj lilly aka double(ディージェイ・リリー・エーケーエー・ダブル)名義
バブルの無料グラフィックリソースを見つけてダウンロード。163,000 ベクター、ストックフォト、psdファイル。 商用利用は無料 高画質画像タイプダブルバブル 注意点 ※画像には他のカラーリング/タイプが含まれます。 ※画像はイメージです。 適合車種 ニンジャ1000 (z1000sx) 11 商品番号 janコード マイクロバブルテストとは? 羊水や新生児の胃液などをピペットで泡立て、4分間静置後のバブルを観察。 肺サーファクタントが直径15μm以下のマイクロバブルを安定させる ことを利用した検査。 陽性なら肺サーファクタントが十分であることを意味し、呼吸窮迫症候群は否定される。
ダブルバブルサイン画像のギャラリー
各画像をクリックすると、ダウンロードまたは拡大表示できます
![]() | ![]() | ![]() |
![]() | ![]() | ![]() |
![]() | ![]() | ![]() |
「ダブルバブルサイン画像」の画像ギャラリー、詳細は各画像をクリックしてください。
![]() | ![]() | ![]() |
![]() | ![]() | |
![]() | ![]() | ![]() |
「ダブルバブルサイン画像」の画像ギャラリー、詳細は各画像をクリックしてください。
![]() | ![]() | ![]() |
![]() | ![]() | |
![]() | ![]() | |
「ダブルバブルサイン画像」の画像ギャラリー、詳細は各画像をクリックしてください。
![]() | ![]() | |
![]() | ||
![]() | ![]() | |
「ダブルバブルサイン画像」の画像ギャラリー、詳細は各画像をクリックしてください。
![]() | ||
![]() | ![]() | |
![]() | ![]() | ![]() |
「ダブルバブルサイン画像」の画像ギャラリー、詳細は各画像をクリックしてください。
![]() | ![]() | |
![]() | ![]() | |
![]() | ![]() | ![]() |
「ダブルバブルサイン画像」の画像ギャラリー、詳細は各画像をクリックしてください。
![]() | ||
![]() | ![]() | |
![]() | ![]() | ![]() |
「ダブルバブルサイン画像」の画像ギャラリー、詳細は各画像をクリックしてください。
![]() | ![]() | |
![]() | ![]() | |
![]() | ![]() | |
「ダブルバブルサイン画像」の画像ギャラリー、詳細は各画像をクリックしてください。
![]() | ![]() | |
![]() | ![]() | ![]() |
![]() | ![]() | ![]() |
「ダブルバブルサイン画像」の画像ギャラリー、詳細は各画像をクリックしてください。
![]() | ||
![]() | ![]() | |
![]() | ![]() | ![]() |
「ダブルバブルサイン画像」の画像ギャラリー、詳細は各画像をクリックしてください。
![]() | ![]() | |
![]() | ![]() | |
![]() | ![]() | |
「ダブルバブルサイン画像」の画像ギャラリー、詳細は各画像をクリックしてください。
![]() | ||
![]() |
bubble バブル の値段はいくら? 今回はTWICEの画面で紹介するけど bubble バブル のアプリから値段を確認できるよ。 ここで注意したいのが、bubbleの登録はNiziUメンバー1人の値段ね。でも複数メンバー登録すると割引もあるよ。ダブルバブルサイン 上部消化管閉塞 十二指腸閉塞 ダブルマドックス杆検査 上部消化管閉塞 先天性消化管異常 メルクマニュアル18版 日本語版 特徴的徴候は,唾液過多,哺乳を試みた後の咳嗽とチアノーゼ,嚥下性肺炎である。 食道 遠 ★リンク











































































コメント
コメントを投稿